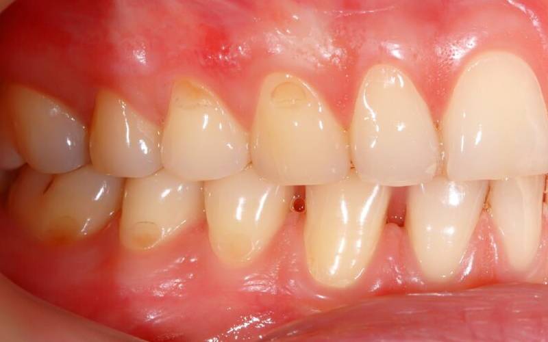
La piorrea dental, también conocida como enfermedad periodontal, es una enfermedad que afecta los tejidos que sostienen los dientes en su lugar.
Es causada por la acumulación de placa bacteriana en los dientes, que si no es eliminada, se endurece y se convierte en sarro.
Esto lleva a una infección en las encías, que se inflaman y se separan de los dientes, formando bolsas que acumulan más placa y bacterias.
Con el tiempo, el hueso y el tejido que sostienen los dientes pueden ser destruidos, lo que puede provocar la pérdida de los mismos.
Síntomas de la piorrea dental incluyen;
- Sangrado de las encías
- Enrojecimiento e inflamación
- Sensibilidad dental
- Mal aliento persistente
- Cambios en la mordida
- Pérdida de dientes
Una enfermedad que no suele causar dolor hasta las etapas avanzadas, por lo que es importante estar atento a los síntomas y realizar visitas regulares al dentista para detectar y tratar la enfermedad a tiempo.
La piorrea dental es causada principalmente por una higiene bucal deficiente, pero también puede ser causada por factores como el tabaquismo, la diabetes, el estrés y ciertos medicamentos.
El tratamiento incluye la limpieza dental profunda, la eliminación del sarro y la placa, y en casos más avanzados, cirugía periodontal.
Por ello, es importante seguir una buena higiene bucal en casa y programar una visita al dentista regularmente para prevenir y tratar la piorrea dental.
¿Qué causa la piorrea dental?
La piorrea dental es causada por la acumulación de placa bacteriana en los dientes y encías. Esta placa se forma cuando los restos de alimentos y bacterias se adhieren a la superficie de los dientes y no son eliminados adecuadamente con la higiene bucal diaria.
Con el tiempo, la placa se endurece y se convierte en sarro, que es una sustancia que irrita y daña las encías y causa inflamación.
La piorrea también puede ser causada por factores como:
- Una mala higiene dental
- Fumar
- Dieta poco saludable
- Enfermedades sistémicas como la diabetes y la genética.
De hecho, la acumulación de placa y la inflamación resultante pueden causar la recesión de las encías, la degradación del hueso y la pérdida de dientes si no se trata adecuadamente.
¿Cómo se puede prevenir?
1. Mantener una buena higiene bucal: El cepillado adecuado y el uso de hilo dental son fundamentales para prevenir la acumulación de placa bacteriana, que es la principal causa de la piorrea dental.
Por tanto, se recomienda cepillar los dientes al menos dos veces al día y usar hilo dental al menos una vez al día.
2. Visitar regularmente a tu dentista en Madrid: Es importante realizar visitas periódicas al dentista para una limpieza dental profesional y una evaluación de la salud bucal.
Esto ayudará a identificar y tratar cualquier señal temprana de piorrea antes de que progrese.
3. Dejar de fumar: Fumar aumenta el riesgo de desarrollar piorrea dental. El tabaco reduce la capacidad del cuerpo para combatir las infecciones y también retrasa la curación de las encías.
4. Seguir una dieta equilibrada: Una alimentación saludable y equilibrada, rica en vitaminas y minerales, puede ayudar a prevenir la piorrea dental.
Evitar el consumo excesivo de alimentos azucarados y procesados también es beneficioso para la salud bucal.
5. Evitar el estrés: El estrés puede debilitar el sistema inmunológico y aumentar el riesgo de desarrollar enfermedades periodontales como la piorrea dental.
6. Controlar enfermedades sistémicas: Algunas enfermedades como la diabetes y el síndrome metabólico pueden aumentar el riesgo de desarrollar piorrea dental.
Es importante controlar estas enfermedades y seguir las pautas de tratamiento sugeridas por un médico.
7. Usar enjuague bucal: El enjuague bucal puede ser una herramienta útil para prevenir la acumulación de placa bacteriana.
Recomendable usar un enjuague bucal antimicrobiano después del cepillado para ayudar a eliminar las bacterias nocivas en la boca.
Si necesitas realizar una revisión, en Clínica dental Carrera estamos a tu entera disposición. Realizamos todo tipo de tratamientos dentales: ortodoncia, implantes, etc.
Recuerda que prevenir hoy será clave para evitar la piorrea dental en un futuro.





